There are not many things that have made such a huge impact on the 21st century’s society like cancer has. An increasing number of people suffer from one of its types that are more than one hundred up to this date. Breast, lung and brain cancer are some of the most severe, with millions of people all over the world dying every year because of them. Fortunately, the science has evolved enough as to offer us new and stronger treatments. As a result, statistics shows that the life expectancy of many patients who have received a positive diagnosis is higher in 2016 in comparison to 2012. However, this does not change the fact that at the present moment cancer is one of the leading causes of death worldwide. Specialists expect that the number of cases will reach no less than twenty-two millions by the end of 2040.
What is Cancer?
Cancer, also known as a malignant tumor, represents a group of more than one hundred diseases that affect the organs on a cellular level. The damage is so severe that one single tumor can easily spread throughout the body in a matter of months. If not diagnosed in time, it can be fatal, regardless of one’s age. Cancer starts with a group of cells that register an abnormal growth. Normally, the body’s cell multiplication follows a cycle of development, division and death. However, new cells are continuously produced even when the old ones no longer die, which means the natural process is disturbed and can lead to tumor occurrence. A common term among cancer patients is that of “metastasis”. This happens when the sick cells travel down the bloodstream, reach a healthy organ, and then bind to it. The action causes in turn yet another tumor. Usually, at this stage, the disease is hardly treatable, and all a doctor can do is help the patient live for as long as possible after receiving a diagnosis. It is important to acknowledge one aspect: not all tumors are cancerous. Those called benign do not affect the tissues. Although larger in size, they rarely grow back after surgery.
There are little to no symptoms in the early stages. That is why many people find out they suffer from the disease only in the later stages when the chances of survival are drastically reduced.
Some of the factors that increase the risk of occurrence are tobacco, alcohol, environmental conditions and genetics. Whereas the first two can be avoided and the third is an issue easily solvable, the fourth represents a condition one must be aware of from an early age. Studies show that a person with a first-degree relative with the disease or a family history of cancer is more likely to develop it. Furthermore, smoking or frequently drinking as well as living and working in a polluted environment contribute to a high degree of the disease’s appearance. One can enhance his life quality and avoid possible complications by staying as far from them as possible.
What is Lung Cancer?
Lung cancer is one of the most painful types of cancer with one patient in four suffering from it. Here, the malignant tumor develops inside the lungs, but can easily spread towards other organs. The rate of occurrence is equally distributed among men and women. It is the persons over the age of sixty-five who receive a positive diagnosis, with those under sixty registering lower risks. The disease does not take into account if one is a smoker or a non-smoker, although tobacco is more associated with it than other factors. Exposure to its compounds can affect one as well.
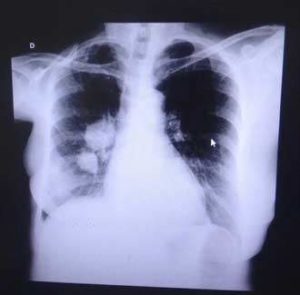
As in the case of other types, lung cancer does not have visible signs from the very beginning. Also, if diagnosed at an early stage, it can be mistaken for other illness with similar symptoms. This is what makes it so dangerous in comparison to other diseases. Chest radiographs and CT scans are the methods doctors use the most often, but a biopsy is needed to reach a conclusion. The majority of cases are diagnosed only when the disease has reached a final stage. At this point there is little to be done, mainly because the cancer is inoperable but also because the patient is old so surgery can only lead to more complications.
There are two categories of lung cancer, namely small lung cell carcinoma and non-small-cell carcinoma. They have different mechanisms of action and affect the body in a distinct way, so they have specific treatments.
- Small-cell carcinoma (SCLS), also known as oat cell cancer, makes up for fifteen per cent of the total number of cases. In spite of it appearing less, the altered cells spread faster which leads to an earlier development of metastases. Moreover, they are smaller in size and flatter than the usual cells, due to a malfunction in the growth process. What is unique about this type is its ability to develop in other body parts such as the cervix, bladder, gastrointestinal tract or liver and then directly target the lungs.
Some of the causes include exposure to tobacco or toxic substances like asbestos or uranium. However, the triggering factor remains smoking, with more than ninety percent of the cases being There is a set of symptoms which one might notice several weeks after the illness has become more serious. They can depend on the disease’s severity, affected area or a possible metastasis, as follows:
- Local (the lungs): frequent coughing (sometimes involving blood), difficulty in breathing, chest pain
- Organs near the lungs: difficulty in swallowing, hoarse voice, swollen face (this can happen to the hands and legs as well)
- Distant Organs: pain in various areas of the body, headaches, problems with the gastrointestinal system, weight loss, nausea or vomiting
It is good to seek a doctor’s advice whenever one or more of these symptoms persist. The first tests include chest X-Ray films, CT scans, mediastinoscopy, which will be performed as soon as the specialist has the patient’s medical history. Afterward, more exams are to be conducted in various parts of the body to find out to which extent cancer has spread as well as its current stage. Although it is harder to cure, the small-cell carcinoma is rather responsive to chemotherapy and other treatments designed for patients suffering from it. In the situation when the illness is diagnosed faster, surgery might represent the right option, although it works best when combined with chemotherapy. Radiation is the most efficient way to impede the spread of malignant cells and kill the existing ones. SCLC is deadly for most patients, with the luckiest ones not living for more than five years after receiving a diagnosis.
- Non-small-cell carcinoma (NSCLC) is more frequent than SCLC, accounting for eighty-five percent of the cases. Like in the case of SCLC, this type is caused by smoking on a regular basis. Therefore, by quitting this habit, one could reduce the risks to a minimum, in spite of being genetically predisposed to cancer. It has similar symptoms, although they seem to center more on the lung area. There are four main NSCLC categories:
- Adenocarcinoma is the most frequent cancer among non-smokers, but affects smokers as well, with no less than forty percent of the cases being of patients suffering from it. It begins with an accumulation of mucus once with the new cells’ growth. Adenocarcinoma occurs more often in women than men, and in adults rather than older persons. It has a slower development that starts from the lung’s outer parts which make it easier to diagnose but not necessarily treat. Even so, recent studies have shown a tendency to move towards the lung’s central portion.
- Bronchioalveolar carcinoma, by far the rarest type, is, as of 2016, included in the Lung Adenocarcinoma category. However, some notable differences set it apart and make it deserve a concept of its own. While it might appear in the outer regions, it does not spread only along the lung’s external lining, but also directly through the airways. A higher percentage of women suffer from it. BAC is easier to diagnose. Therefore a surgery through which the damaged area could be removed might be the solution.
- Squamous cell carcinoma, known as epidermoid carcinoma, forms in the lining of the bronchial tubes when the squamous cells start developing. It is so damaging that, if left untreated, can form cavities in the organ’s structure. It affects the central part of the lungs, being connected with smoking. Statistics published lately indicate that people who have been smoking for more than ten years are exposed to higher risks, whereas those who have never tried a cigarette are unlikely to suffer from this type of cancer. Men are more prone to it than women, probably because they are heavy smokers.
- Large-cell undifferentiated carcinoma (LCLC) is a group of cells that grow faster than all others and advance from the lungs’ extremities towards the center. They are not exactly a well-established class with features and a precise set of symptoms. About ten in one hundred patients suffer from it. However, fewer cases are reported each year. This happened due to a modernization of medical equipment which had allowed doctors to diagnose patients with one of the first three types, as LCLC represented all the other cases when a firm diagnosis was not possible. One of its subtypes, the large cell neuroendocrine carcinoma, spreads as fast as SCLC, which makes it extremely hard to treat.
There are other types of lung cancer such as carcinoid tumors, sarcomas or lymphomas. If the first place where the disease has started spreading is any other organ but the lungs, the medical condition receives that particular organ’s name. For example, if the altered cells first appeared in the liver lead to a metastasis that affects the lungs’ area, it will still be called “liver cancer”.
Stages
There are five stages a cancer patient can go through which differ in regards to their severity degree and the amount of time the person in question lives after being diagnosed:
- Stage 0, in which the cancer is in situ (in its initial place) and has not spread to nearby organs. The damaged cells remain inside the lung’s inner lining, so all the other tissues are protected. If located in time, the patient will not need chemotherapy, but only surgery as to have the portion removed. The proliferation of infected cells is unlikely to happen afterward, but this depends on the type of cancer.
- Stage I where the tumor is small enough as not to reach the lymph nodes and affect the tissues is still an early stage. Here, cancer remains within the limits of the organ. This makes it highly curable, even if the doctor might need to pair surgery with some chemotherapy sessions. The life expectancy goes well beyond the five-year limit.
- Stages II and III is when the cell multiplication is more visible and has affected the lymph nodes. They attack the nearby tissues soon afterward, but they have yet to reach for a vital organ.
- Stage IV is usually the part when cancer has been diagnosed, due to its spreading throughout the body. In this situation, the cells grow at an abnormal rate and harm various portions such as the brain or liver, and not only the ones closer to the lungs, such as the breasts.
It is vital to locate cancer before a metastasis. For this, it is nice to know that, like any other disease, lung cancer has some symptoms of its own as well. While they can easily be mistaken for those of other illnesses, going to a doctor as soon as you notice them can save your or one of your close one’s life. Take into account that there are both common signs and some that are more accurate to metastasis.
Lung Cancer Causes
There are many theories surrounding the main cause of lung cancer. Some of them appear as the result of prolonged exposure to chemicals such as beryllium, coal, chloromethyl ethers or uranium. Others develop from inhalation of asbestos’ compounds. However, the main culprit is smoking which is the number one factor that leads to lung cancer and actively contributes to the tumor’s spreading towards other body areas. Smokers are not the only ones who suffer, but also those who come in contact with the smoke on a regular basis. Also, having a member of the family with a medical history of cancer can only increase the risk.[1][2][3]
Early Signs of Lung Cancer
There are no clear symptoms that show if someone suffers from lung cancer. Even so, one’s age, life choices and smoking status have a significant impact on whether they are future cancer patients or not. Precisely because the signs are not easily associate with a disease of such severity, people might be inclined to believe they have anything else but cancer. This might explain why most of the cases are diagnosed only in the later stages and not in the earlier ones when a surgery might have had everything solved in a matter of hours.
However, some symptoms point towards lung cancer and which, if taken seriously, might be life-saving.
- Weight loss – As in the case of any other type of cancer, weight loss is one of the most obvious signs that something is not right inside our bodies. Whereas losing some extra pounds is something most of us wish for, a sudden weight loss indicates that the food we eat is no longer meant to provide us with energy, but used by the cancer cells as a fuel for their proliferation. Some people might register a drop in energy levels which goes hand in hand with the process. A weaker body and immune system naturally mean a growing environment for the altered cells to spread and reach for other organs.
- If it is not winter, then there is no reason for which a healthy person should experience a persistent cough. A regular cold might last for up to a couple of weeks during which you will feel the need to cough as to expel mucus, but this is not the case with it being a lung cancer symptom. It is for the best to visit your doctor as to exclude the possibility of a respiratory infection. This way, the specialist will have more time in which he will conduct numerous tests as to confirm the diagnosis. The sooner this happens, the better. If a cough is coupled with a change in your voice’s tone or you spit blood, then you should consult your GP.
- Shortness of breath is another sign linked to a variety of respiratory conditions, but can as well point toward lung cancer. This happens because, as mucus builds up inside the airways, they are obstructed so oxygen cannot travel down towards the lungs as it used to. Moreover, the tumor might impede air circulation which will make everything seem harder than it truly is. If this was not enough of an issue, an obstructed airflow could contribute to the occurrence of pneumonia, which only means more problems to treat. Unless you had asthma when you were a child, then breathing heavier than usual, only urges you to make that appointment.
- Irregular sounds heard when one breathes such as wheezing or whistling are far from normal in a healthy individual, especially when this happens on a regular basis. Similarly to the shortness of breath, this symptom is related to a blockage in the natural flow of air caused by a growing tumor. If the sounds do not go away in a month, then your respiratory system might have a problem. Still, this can be as well the sign of a viral infection that is far easier to treat, or of a benign medical condition that requires medication without involving the use of chemotherapy and radiation.
- Headaches can happen at any time either due to a stressful lifestyle, poor diet or a mild medical condition (that can be treated fast enough as to alleviate the pain). However, if they are constant, this might point towards a metastasis to the brain, in which case the lung cancer has evolved enough and can be traced by a specialist. If enough damaged cells travel throughout the bloodstream toward the brain region and manage to settle there, the tumor that forms will press on the organ. This not only impedes the blood flow but also puts a strain on important veins and nerve cells.
- Pain in various areas of the body, such as the back, stomach or even bones indicates towards the possibility of metastases. Pain is not normal under any circumstances, but many of the patients who have already reached the third stage are likely to experience it rather frequently. While it might look like something usual if it affects one particular area for a short period only, it affecting several parts of the body at the same time should make one worry. Sadly, it is only when it becomes unbearable that one seeks medical assistance which could be too late for most of them.
Some other symptoms connected to lung cancer are chest pain, a harsh voice, pneumonia, chronic bronchitis, changes in the structure and color of the mucus (also, the quantity can increase) or difficulty in swallowing. If the patient is in the third or fourth stage, there are additional signs such as fever, nausea, vomiting, problems with the digestive system, general fatigue that does not go away through rest, joint pain, short-term memory loss and issues in the process of logical thinking, eyelid dropping, weaker bones that seem unable to sustain the body, blood clots and swelling in the face or other body extremities like the hands and feet.
Most if not all of the symptoms listed above are not specific for any cancer, the lung one included. Many of us are not familiar to how the disease occurs and progresses. Thus, we can convince ourselves that all we have is a common cold that will go away with the help of some pills. Whereas this might be true, if the symptoms persist and even intensify, it is better not to take any risks and see what a doctor has to say in regards to our situation. In the meantime, quitting smoking should be the first step to take in the right direction.
Prevention
Cancer is one of those illnesses that, although not avoidable, can be prevented through some simple actions. Some of them are quitting smoking, maintaining a fair distance from people who smoke or staying as far as possible from toxic compounds (those who work in a domain that requires daily contact with them can benefit from protection measures such as masks). Small changes in one’s lifestyle like eating more fruits and vegetables, drinking more water or getting proper rest are sure to make a huge impact on the person in question’s health status.
Is there hope for lung cancer patients?
It is hard to keep an optimistic tone when talking about cancer. Not only the disease kills millions of people each year, but it also impacts the lives of those around them. Dealing with cancer is a long-term situation that none of us wishes to face, but unfortunately remains the reality of many. The majority of patients are diagnosed when it is too late for the doctor to be able to offer them a cure. Once they reach the third and fourth stages, the usual treatment involving surgery, chemotherapy and radiation no longer work as desired. For this reason, the one suffering requires palliative and terminal care. This way, even if the disease can no longer be cured, the life quality and expectancy can be improved.
Moreover, some of its symptoms like the joint or back pain can be alleviated. This process is equally important for the patient and his family. Firstly, because it provides relief from severe aching and can make him more responsive to medication which means he could live longer than in other cases. Secondly, because the mental state that plays a vital role can help him cope better with the illness and even accept it. Whereas death is entirely expectable in stage three and stage four patients, this does not mean they cannot learn how to enjoy the remaining time and take full advantage of it. The good thing about palliative care is that it can be offered either in a hospital, a special center or one’s home. Counseling is present in all cases, both for the patient and his relatives, because the emotional impact is strong enough as to affect everyone. Luckily, there are also support groups made of people with similar experiences, some of which were cancer survivors and others friends or family.

References

